ABORDAGENS ENDOVASCULAR NA DOENÇA ARTERIAL PERIFÉRICANovembro 2019
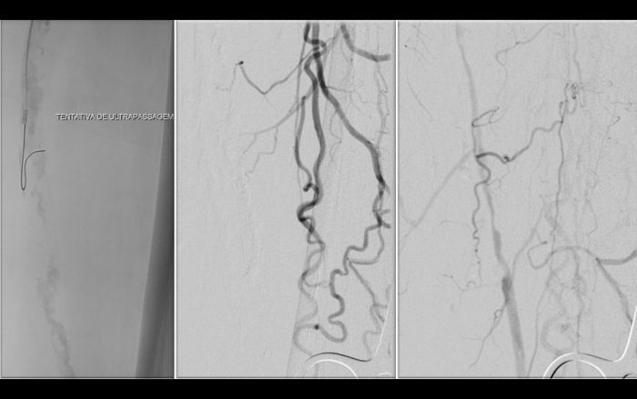
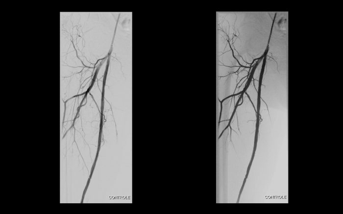
Paciente com história de claudicação dos membros inferiores para curtas distâncias, já submetido a angioplastia do membro inferior direito, retorna ao serviço com piora dos sintomas no lado esquerdo, sem lesão trófica (Rutherford 3)
Após cerca de 1 ano, o paciente evolui com claudicação intermitente para curtas distâncias predominando do membro inferior direito.
Após cerca de 1 ano, o paciente evolui com claudicação intermitente para curtas distâncias predominando do membro inferior direito.
A doença arterial obstrutiva periférica (DAOP) é um grave problema de saúde pública que tem afetado de forma impactante na qualidade de vida dos pacientes com alta taxa de amputações maiores para os casos complexos. Avanços significativos no tratamento da DAOP tem sido construído com o desenvolvimento de novas tecnologias para revascularização das lesões alvo.
O estudo RAPID é um estudo randomizado comparando o balão farmacológico com eluição de paclitaxel + stent Supera com stent Supera sozinho em pacientes com lesões intermediárias a longas da artéria femoral superficial. O resultado da eficácia foi perviedade primária, definida como ausência de reestenose no ultra-som duplex ou na angiografia.
O estudo não demonstrou significância estatística entre a associação e o uso único.
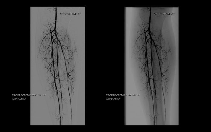
O JETSTREAM é um dispositivo de aterectomia rotacional e aspirativa, desenvolvido pela Boston Scientific, permite recanalizar obstruções arteriais através da redução da carga de placa aterosclerótica, mesmo calcificada ou trombótica, e da hiperplasia miointimal com baixa taxa de embolia distal (1,6%), diminuindo as limitações e complicações da angioplastia tradicional, como dissecção e recolhimento elástico precoce, e sem os efeitos dos elementos sintéticos deixados no vaso como os Stents.
Esse dispositivo de aterectomia pode ser utilizado também em estenoses ou oclusões intra-stent apresentando taxa de recanalização de 91% e sem causar deformidades ou fraturas do stent.
Jetstream Atherectomy System for Treatment of Femoropopliteal Artery Disease: A
Single Center Experience and Mid-term Outcomes. Ardita V, Ronchey S, Orrico M,
Pappalardo V, Davì A, Fazzini S, Alberti V, Mangialardi N. Ann Vasc Surg. 2019 Sep 24. pii:
S0890-5096(19)30742-3. doi: 10.1016/j.avsg.2019.04.052.
Long-term outcomes with Jetstream atherectomy with or without drug coated balloons
in treating femoropopliteal arteries: A single center experience (JET-SCE).
Shammas NW, Shammas GA, Jones-Miller S, Shammas WJ, Bou-Dargham B,
Shammas AN, Banerjee S, Rachwan RJ, Daher GE. Cardiovasc Revasc Med. 2018 Oct;19(7
Pt A):771-777. doi: 10.1016/j.carrev.2018.02.003.
Short-term Results of the RAPID Randomized Trial of the Legflow Paclitaxel-Eluting Balloon With Supera Stenting vs Supera Stenting Alone for the Treatment of Intermediate and Long Superficial Femoral Artery Lesions.
de Boer SW1, van den Heuvel DAF1, de Vries-Werson DAB2, Vos JA1, Fioole B3, Vroegindeweij D4, Elgersma OE5, Tutein Nolthenius RP6, Heyligers JMM7, Bosma GPT8, de Leeuw B9, Bouwman LH10, Böckler D11, Dovzhanskiy DI11, Vos FWF12, Vink TWF13, Hooijboer PGA14, Hissink RJ15, de Vries JPM2.
J Endovasc Ther. 2017 Dec;24(6):783-792. doi: 10.1177/1526602817725062. Epub 2017 Aug 10.
















