TRATAMENTO ENDOVASCULAR DE ANEURISMA DE AORTA ABDOMINAL INFRA-RENAL COM COLO HOSTIL E TECNICA SNORKEL GRAFTSNovembro 2019
Paciente masculino 74 anos foi diagnosticado incidentalmente com aneurisma de aorta abdominal infra-renal durante ultrassonografia de abdome solicitada para avaliação clínica geral.
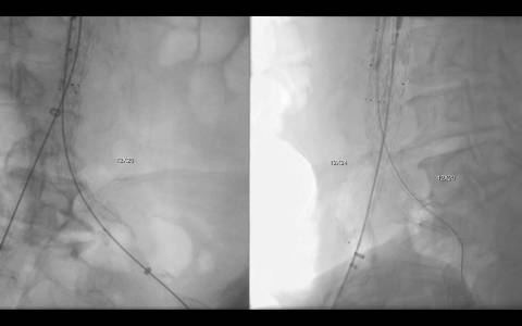
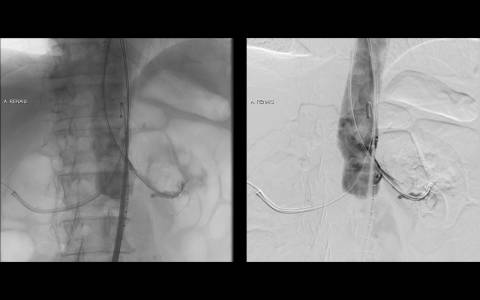
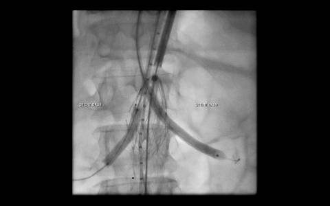
A avaliação por tomografia computadorizada evidenciou um aneurisma infra-renal de colo hostil e acessos vasculares com muita ateromatose. Diante do contexto clínico e de imagem foi optado pelo tratamento endovascular com endoprótese de baixo perfil Incraft CORDIS e técnica de Snorkel Grafts com stents Palmaz CORDIS para as artérias renais.
Embora os resultados a longo prazo do reparo endovascular da aorta (EVAR) com dispositivos de baixo perfil em pacientes com anatomias ilíacas hostis tenham sido publicados, não há resultados relatados especificamente para bifurcações aórticas estreitas. O EVAR com INCRAFT em bifurcações estreitas mostrou resultados aceitáveis. Em estudo multicêntrico, os resultados foram comparáveis em termos de sucesso técnico e taxa de perviedade ilíaca entre pacientes e resultados satisfatórios a médio prazo.
Outcomes of endovascular repair of abdominal aortic aneurysms in narrow aortic bifurcations using the ultra-low profile “INCRAFT” device: A retrospective multicenter study. Orrico M1, Ronchey S2, Alberti V2, Ippoliti A3, Citoni G3, Tshomba Y4, Bartoli S5, Mangialardi N6.
J Vasc Surg. 2019 Nov 26. pii: S0741-5214(19)32494-2. doi: 10.1016/j.jvs.2019.09.033.
Preliminary experience with the use of ultra-low profile endografts. Mazzaccaro D1, Malacrida G, Amato B, Alessio Angileri S, Ierardi AM, Nano G.
Diagn Interv Radiol. 2017 Nov-Dec;23(6):448-453. doi: 10.5152/dir.2017.16523.














