TRATAMENTO ENDOVASCULAR DE ANEURISMA DA ARTÉRIA CEREBRAL MÉDIA COM STENT REDIRECIONADOR DE FLUXO
Março 2020
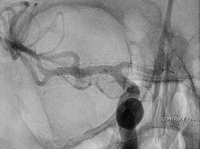
Aneurisma incidental relacionado a artéria cerebral média diagnosticado após investigação de cefaleia. Realizado tentativa de embolização com micromolas sem sucesso, sendo optado pelo tratamendo endovascular com stent redirecionador de fluxo Fred Jr 03 x 14 x 19 mm.
BIBLIOGRAFIA:
- Single-center experience with six-month follow-up of FRED JrVR flow diverters for intracranial aneurysms in small arteries. DOI: 10.1177/0284185118805266 journals.sagepub.com/home/acr
- Experience with FRED junior flow diverter in treatment of cerebral aneurysms at or distal to the circle of Willis doi.org/10.1016/j.jocn.2019.07.079 0967-5868/ 2019 Elsevier Ltd. All rights reserved.
- Multicenter Experience with FRED Jr Flow Re-Direction Endoluminal Device for Intracranial Aneurysms in Small Arteries http://dx.doi.org/10.3174/ajnr.A5332






