TRATAMENTO ENDOVASCULAR DE HEMATOMA INTRAMURAL DA AORTA ABDOMINAL COM ENDOPRÓTESE DE BAIXO PERFIL
Março 2020
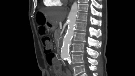
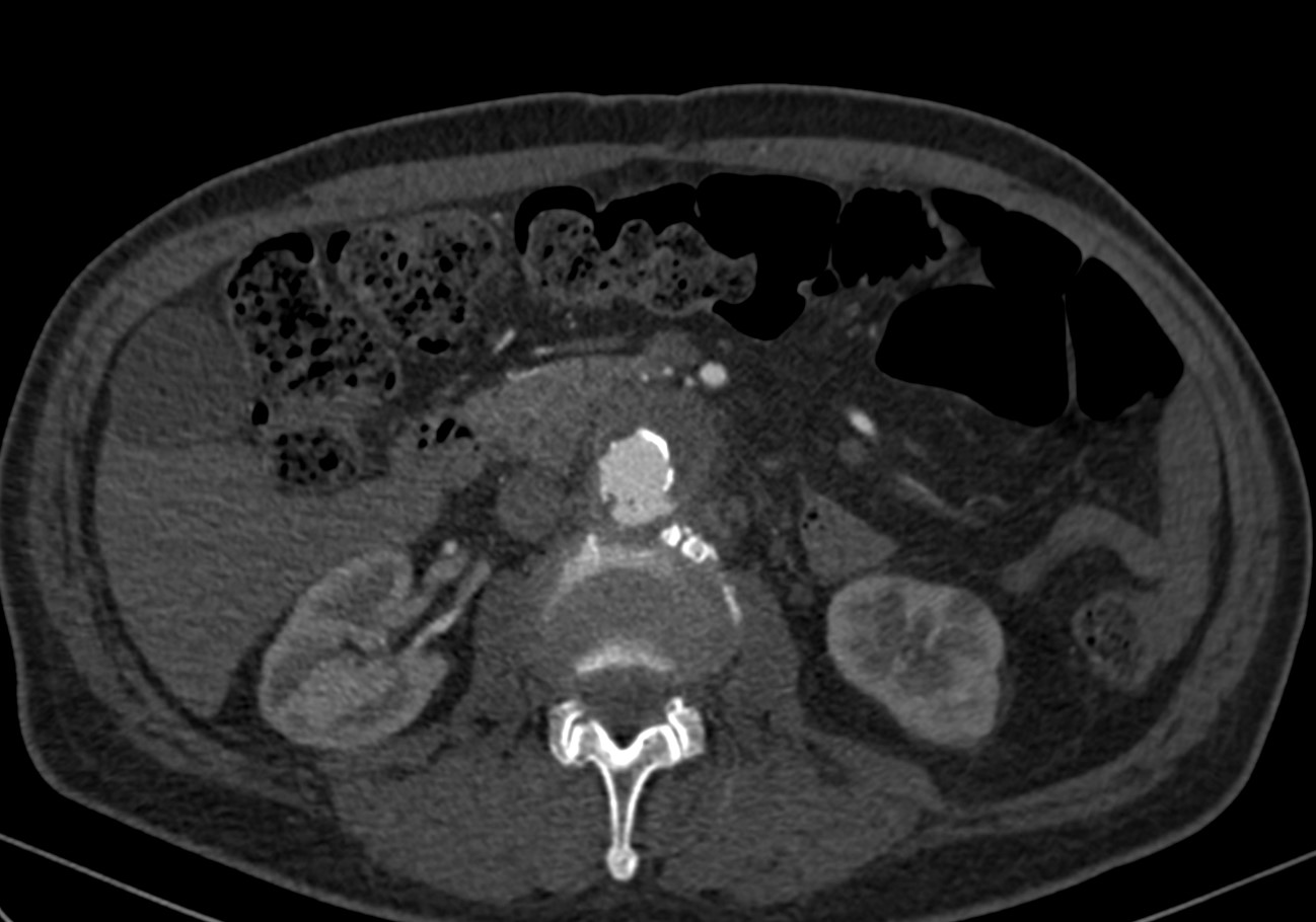
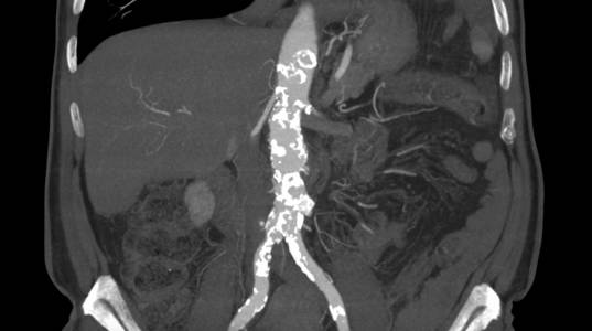
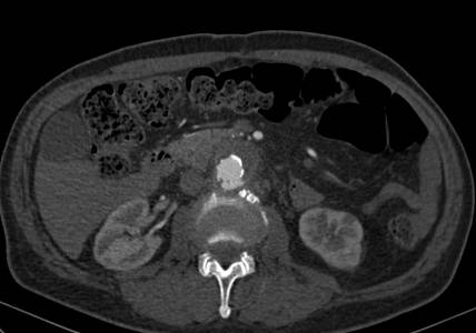
Paciente da entrada hospitalar com dor cardíaca típica sendo diagnosticado com infarto agudo do miocárdio em dezembro de 2019. Apresentava passado de outros três episódios e de revascularização cardíaca com mamária e ponte de safena. Durante internamento paciente evolui com dor abdominal importante sendo indicada realização de tomografia de abdome total que indicou a presença de hematoma intramural da aorta abdominal.
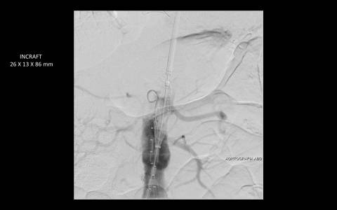
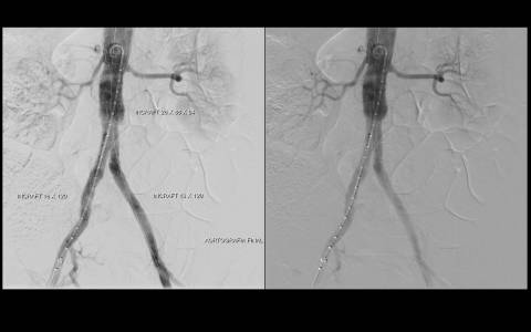
Haja vista a extensa quantidade de comorbidades a cirurgia aberta se fazia de risco muito elevado para o paciente. Este foi então encaminhado para correção endovascular.
O estudo de angiotomografia evidenciou que as artérias iliacas externas e femorais apresentavam-se com muitas calcificações e ponto de estenose mais crítica em artéria ilíaca comum direita. Diante dos achados de imagem, foi optado por endoprotese de aorta abdominal de baixo perfil (Incraft – Cordis).
BIBLIOGRAFIA:
- Outcomes of endovascular repair of abdominal aortic aneurysms in narrow aortic bifurcations using the ultra-low profile “INCRAFT” device: A retrospective multicenter study. Orrico M1, Ronchey S2, Alberti V2, Ippoliti A3, Citoni G3, Tshomba Y4, Bartoli S5, Mangialardi N6. J Vasc Surg. 2019 Nov 26. pii: S0741-5214(19)32494-2. doi: 10.1016/j.jvs.2019.09.033.
- Preliminary experience with the use of ultra-low profile endografts. Mazzaccaro D1, Malacrida G, Amato B, Alessio Angileri S, Ierardi AM, Nano G. Diagn Interv Radiol. 2017 Nov-Dec;23(6):448-453. doi: 10.5152/dir.2017.16523.

















