TROMBECTOMIA MECÂNICA NO CONTEXTO DE TROMBOSE VENOSA CEREBRAL
Março 2020
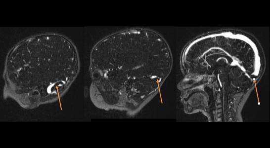
Paciente atendido na emergência com quadro de diarreia de início a 48h. Durante realização de hemograma foi flagrada a presença de células imaturas no exame, sendo então encaminhado para o tratamento com a oncopediatria. Realizou mielograma que diagnosticou leucemia linfoide aguda. Foi então submetido a tratamento intratecal com quimioterápicos. Com 48 horas paciente evoluiu com rebaixamento do nível de consciência. Sendo diagnosticada trombose venosa cerebral (TVC).
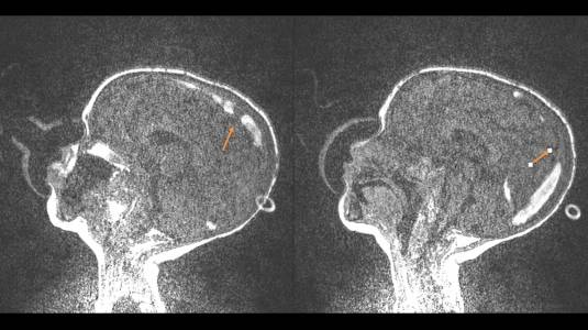
Paciente foi avaliado e indicado tratamento com anticoagulação utilizando enoxaparina em dose plena. O paciente apresentou piora progressiva dos sintomas, chegando a apresentar hemiplegia a esquerda. Nova ressonância é solicitada demonstrando piora da trombose.
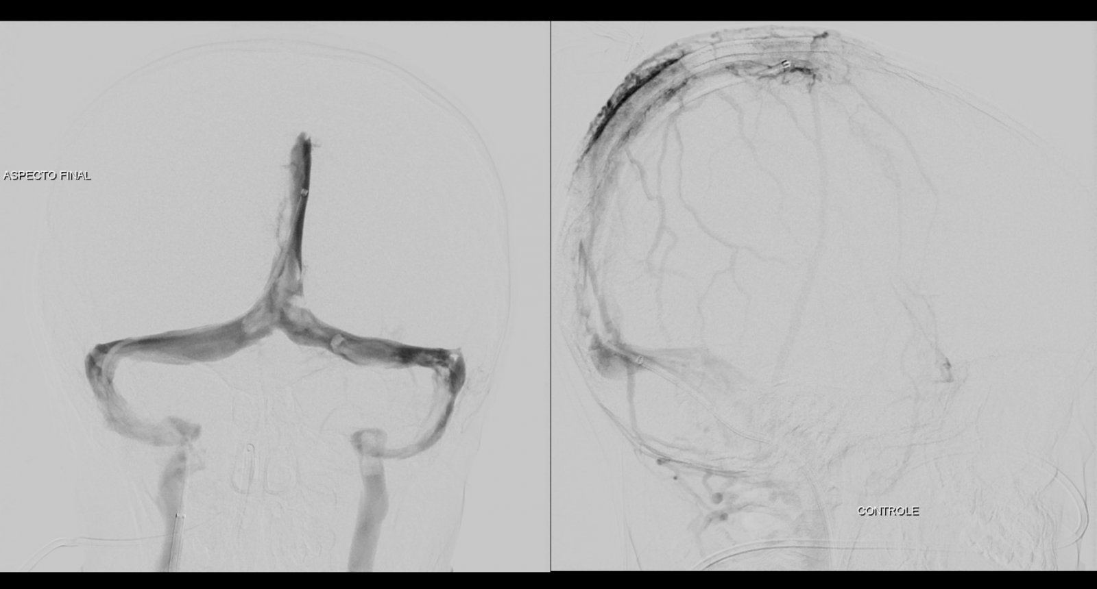
Foi realizada discussão entre as diversas especialidades, em vista da não melhora com o uso do anticoagulante, foi sugerido a tentativa de trombectomia mecânica do seio dural.
Paciente é extubado em sala e encaminhado a UTI pediátrica. Após 24 horas, apresenta melhora da força em hemicorpo esquerdo e a mãe relata melhora da sonolência, chorando com mobilização do paciente. Sem sinais de complicações no local de punção.
O caso clínico apresenta a utilização de materiais com finalidades primárias para trombectomia mecânica no contexto de acidente vascular cerebral (Rebar 27 + Solitaire) e o balão Copernic RC (Balt) comumente utilizado auxiliando na embolização de fístulas durais para os seios, auxiliando no processo de trombectomia mecânica no contexto de extensa trombose venosa cerebral.
A trombose do seio venoso cerebral é uma forma incomum de acidente vascular cerebral que, quando grave, pode ser um desafio terapêutico. As técnicas de trombectomia mecânica endovascular evoluíram significativamente na última década, mas os dados referentes à eficácia e segurança são pouco definidos.
Um total de 17 estudos compreendendo 235 pacientes tratados com trombose venosa cerebral foram incluídos para análise. O estudo concluiu que a trombectomia é uma terapia de resgate eficaz para os casos refratários, com um perfil de segurança razoável. A trombólise química, em conjunto com a trombectomia, não pareceu resultar em dano ou benefício adicional. Uma análise mais aprofundada é necessária para determinar os preditores de sucesso.
A Diretriz da Organização Europeia do AVC para o diagnóstico e tratamento da trombose venosa cerebral – aprovada pela Academia Europeia de Neurologia sugere o uso de ressonância magnética ou angiotomografia computadorizada para confirmar o diagnóstico de TVC e não rastrear rotineiramente os pacientes com TVC para trombofilia ou câncer. Recomendamos anticoagulação parenteral na TVC aguda e cirurgia descompressiva para evitar a morte por herniação cerebral. Sugerimos o uso preferencial de heparina de baixo peso molecular na fase aguda e não anticoagulantes orais diretos. Não foi possível fazer recomendações sobre a duração da anticoagulação após a fase aguda, trombólise e / ou trombectomia.
Estudos observacionais e experimentais multicêntricos são necessários para aumentar o nível de evidência que apoia as recomendações sobre o diagnóstico e o manejo da TVC.
BIBLIOGRAFIA:
- Ilyas A, Chen C, Raper DM, et al Endovascular mechanical thrombectomy for cerebral venous sinus thrombosis: a systematic review Journal of NeuroInterventional Surgery 2017;9:1086-1092.
- J. M. Ferro et al European Stroke Organization guideline for the diagnosis and treatment of cerebral venous thrombosis – endorsed by the European Academy of Neurology













