TÉCNICA DE REMODELING COM STENT REDIRECIONADOR DE FLUXO FRED JR.
MAIO 2020
Paciente apresentou episódio de cefaleia e crise de ausência há 2 anos, tendo sido descoberto na investigação, um aneurisma de artéria pericalosa esquerda. O mesmo apresenta antecedentes familiares de um sobrinho em primeiro grau com aneurisma cerebral roto.
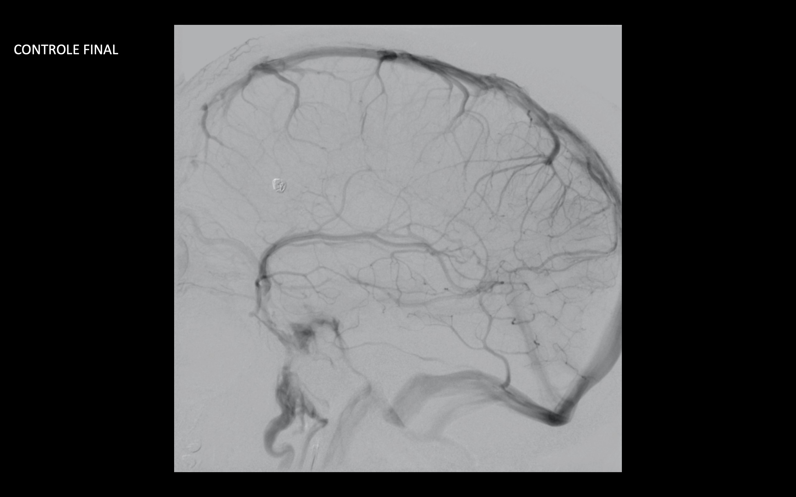
Realizado angiografia cerebral e reconstrução 3D sendo evidenciado um aneurisma de colo largo com ramo frontal emergindo do colo do aneurisma. Baseado nessas característica, foi optado por tratamento com stent redirecionado de fluxo Fred Jr., associado a micromolas de platina devido o importante inflow do ramo frontal.
Feito duplo acesso femoral e cateterismo da carótida esquerda, seguido de microcateterismo distal ao aneurisma com Headway 21 para o implante do stent, bem como do saco aneurismático para a deposição das micromolas.
Implantado um stent 2,5 x 18mm conforme programação 3D. O procedimento transcorreu sem intercorrência, mantendo a patência dos vasos envolvidos.
























